
Treating Sprains and luxations Page Menu: 1 2 3 4 5 6 7 8 9 10 11 12 13 <<First
Treating Sprains & Dislocations in the Golden Age of Piracy, Page 13
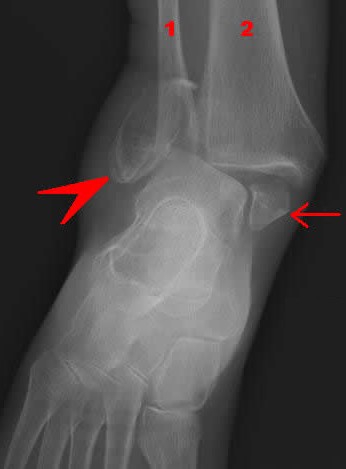
Dislocation/Luxation Complications - Dislocations Accompanied by Fractures
Dislocations often occur with and many times because of fractures of the joint's bone. When the socket in a joint becomes damaged by a fracture, the bone can more easily slip out of place. It is likely that some of the dislocations that surgeons treated during this time were actually accompanied by small fractures, but since X-rays were

Image: Steven Fruitsmaak
Fracture of the Fibula (1) and Tibia (2) with Dislocation of the
Medial
Malleolas (arrow) and Lateral Malleolas (arrowhead) Bones
still centuries away, no one knew it. As a result, they extended dislocations caused by fractures which would have been painful as well as potentially damaging to the already broken bone.
Recall that sea surgeon John Atkins advised that despite the fact that it wasn't easy to perceive an ankle dislocation, "it is not implolitick to recommend Extension at all times"1. It is difficult to blame the golden age of piracy era surgeons for this, however, since these fractures were subtle and very hard to detect without having an inner picture. When fractures were obvious, the surgeons had an entirely different view of the matter.
Atkins warned that when compound fractures occurred near a joint, "it augments the Danger, because the Muscles there become tendinous [stringy and tough]"2. He noted that such wounds were very painful because the joint was "endued with a more exquisite Sense"3. He also said that such wounds were "dangerous, because the Deficiency of natural Heat will keep them indigested [prevented them from healing], and in the End make them fistulous"4. He last warns that they are more likely to cause joint damage, resulting in the patient becoming lame.
French surgeon Ambroise Paré said when a fracture occured with a dislocation, the surgeon was "often compelled so long to let alone the luxation, until these be remitted of themselves, or by our art.”5 German military surgeon Matthias Gottfried Purmann agreed, noting that "where the Fracture is near a Joint, accompanied with a Contusion and Swelling, or a Dislocation of the next Joint, which causes such intolerable Pain, that the Fractured Part cannot be extended"6.
Not everyone agreed with this. English military surgeon Richard Wiseman advised that when a fracture occurred near a dislocated joint, the srugeon should "restore the Joint first to its place, before you meddle with the Fracture."7 In a theoretical case study of a man who fell from the rigging to the deck, dislocating his shoulder and breaking his humerus, sea surgeon John Moyle similarly advised that the dislocation be restored before working with the fracture.8 Even Paré told his readers when they were treating a patient soon after "the mischance is got, or else the same day, you [can] endeavour to restore it: for the biternesse of paine or inflammation, which may trouble the patient, is not as yet verie great, neyther is the contraction of the muscles upwards as yet very much or stubborne."9
1 John Atkins, The Navy Surgeon, 1742, p. 114; 2,3,4 Atkins, p. 64; 5 Ambroise Paré, The Workes of that Famous Chirurgion Ambrose Parey, 1649, p. 380; 6 Matthias Gottfried Purmann, Churgia Curiosa, 1706, p. 213; 7 Richard Wiseman, Of Wounds, Severall Chirurgicall Treatises, 1686, p. 421; 8 John Moyle, Abstractum Chirurgæ Marinæ, 1693, p. 43; 9 Paré, p. 167
Treating a Dislocation With Accompanying Fracture
Ambroise Paré and sea surgeon John Moyle each give detailed accounts of what to do when a dislocation is accompanied by a fracture. Note that Paré is apparently discussing a situation where the wound is still fresh and can bear relocation as opposed to an older dislocation and fracture which he suggests not be extended.
Paré begins with advice on preparing for the operation. The surgeon "must bee in some place which

Expostulating with the Surgeon, From Medizinische Annalen
fur Aerzte
und Gesundheitliebende, frontispiece,
By Johann Gottlieb Frietze (1781)
hath good and sufficient light. Then let trusty and skilfull attendants be there, good ligatures, and also, if need so require, good engines [devices for extending the muscles]."1 This is not much different than the preparation for any type of dislocation. He does note that if the patient's friends are there, "let them see and hold their peace, neyther say, nor do any thing which may hinder the Worke of the Surgeon."2 (This was probably as much for the surgeon's sanity as anything.)
Moyle's prepatory procedure is different; "let his Clothes be immediately ript off, and seeing how the Case stands, give him immediately a Cordial dram, to revive his Spirits"3. A cordial is a drink used to mollify and fortify the patient. Moyle elsewhere mentions several cordial waters the surgeon should have on hand including Aqua Mirabilis, Aqua Celestis, Aqua Cinimoni, Confectio Akermes and Confectio Hyacinth.4
The repair of fractures share several thing in common with dislocations. Like dislocated joints, fractures must be extended. Extension allows the surgeon to put the two broken parts of the bone back together. Once replaced, the repaired location must be secured while it heals. Then the fractured location is to be left alone to heal, provided no complications occur. Paré lists the complications that can occur in a compound fracture/dislocation and, not surprisingly, they are basically the same as those that accompany a dislocation without a fracture.
The process of extending such a wound will be very familiar after having read the procedure used in so many dislocations. When the wound is recent or the patient young, the surgeon can extend the fracture by himself. Here, Paré prescribes "putting one hand above, that is, towards the center of the body [making counter-extension], and the other below [the fracture, making extension], as neare as hee can to the part affected, let him stretch forth the member"5.

Fracture Extension and Setting, From A General System
of Surgery, by Lorenz Heister plate 10 (1770)
He also mentions that a band or ligature can be useful here. He warns his reader to keep their hands as close as possible to the wound, "for if you lay your hand any distance from the part affected, you wil hurt the sound part by too much compression, neyther will you much avayle your selfe by stretching it at such a distance."6
Speaking more generally, Moyle says that "all dislocations and fractures are reduced either by a slight and sudden Motion, or by a more strong Extension."7 He says that while a dislocation may only require the slight and sudden method, fractures often require more. "There must be a powerful extension of this Fracture, because the Ends of the Bones are one over the other."8 With this in mind, he suggests that assistants be used to extend such wounds, with the one making counter-extension employing a device.
Paré similarly comments, "The Surgeon is sometimes forced to use engines [devices] for this worke, especially if the luxation be inveterate [old], if the broken or luxated bones be great; and that in strong and rustick bodies, and such as have large joints for that then there is need of greater strength, than is in the hand of the Surgeon alone."9 He explains that once the muscles around a fracture are properly extended, "the broken bones will sooner and more easily be restored to their former seate. Which being restored, you shall presently with your hand presse it downe, if there be any thing that bunches or stands out."10 However, Paré also warns that the extension not be made too forcefully, "lest by rending and breaking asunder the muscles and nerves, you cause the forementioned symptomes, paine, convulsion, a palsie and gangrene: all which sooner happen to strong and aged bodies"11.
Once the luxatated joint and the fracture are properly relocated, Moyle recommends applying medicines to the wounded areas. He tells the surgeon to

Photo: Wiki User Sharktopus
Dead Dracaena Draco Leaves with Dragon's Blood Resin at Base
embrocate about the part with Oleum Rosar. [oil of roses] and into the Wound apply a small dorcel [dossil or pleget] of Tincture of Myrrh next [to] the Bone, and on that your digestive on another dorcel; and over all a large Restrictive of Rx. Bolus verus [Armenian Earth] Sang. Drac. [Dragon's Blood Resin] Mastich, and Oliban. [Frankincense] ana parts equal [equal quantities of each], alb. Ovor. [egg white] & acetum vini [vinegar of wine], q. s. misce. [mix sufficient quantities] F. Cataplasm [make into a cataplasm or poultice].12
Oil of roses is one of Moyle's standby medicines for healing dislocations as we have seen. Some of the other medicines in his embrocation are also familiar. Tincture of Myrhh is reputed to have cleansing, preserving, wound healing and pain relieving properties and is used here to protect and help heal the fractured bone and wound if there is one.
When dressing such wounds, Paré simply orders "you shall binde it up, by applying boulsters [pads] and splints as shall bee fit."13 Moyle recommends the same thing, but he provides a little more detail. He advises the use of soft

Dressings On a Leg Fracture, From The Workes of that Famous Chirurgion
Ambrose Parey, p. 374 (1649)
bolsters or compresses and hollow splints on the sides of the fracture. The junks mentioned in dressing an ankle dislocation would be an example of a hollow splint. Moyle explains that the part should "be decently bound on with [fabric] Tape from joynt to joynt, yet not to touch the Joynt so as to hurt it; nor yet so hard as to cause ill accidents to the wound and fracture."14
He points out that a normal fracture would have roller bandages applied tightly to prevent the flow of humors to the fractured area, but a "Compound Fracture admits of no such rouling; but there must be much more care and trouble about it."15 He notes that the roller bandage should be left in place for two or three days with the dressings next to the wound being left on longer if possible, while simultaneously warning the surgeon, "Let all be done with great care."16
With regard to long-term care, Paré advises the surgeon to make sure that the patient "shall take heed, as much as in him lyes, that he stirre not the broken member, before that the Callus be hardened."17 He warns his reader to carefully examine the fractured area every time the dressings are removed to make sure that the broken bone hasn't slipped out of place while the callus is forming, causing it to heal imperfectly "to [the patient's] great griefe, and the Surgeons shame."18
Moyle's long-term care suggestions are a bit more practical. "[L]et his Clothes be put about him, and open a vein in the other Arm, because of his Inward contusion; that it may hinder the coagulation of the blood. Lay this by the rest for this time, and when you see occasion, give him of the wounded drink as you do the others."19 Note that he advises bleeding here for something other than humoral purposes. Perhaps with this in mind, he reiterates that the surgeon should "Be sure in such cures as these, to keep a cool and open Body, and breathe a Vein, not only once, but oftner."20 Still, the purpose of keeping the body 'open' was to keep it free from unwanted humors.
Moyle lists a variety of medicines that should be used during the long-term care of the wound which add a few ingredients to his original recommendations.

Artist: David Ryckaert
A Surgeon Treating a Leg Wound (1638)
Cleanse the wound with hot tincture of Myrrhæ, then drop into it hot Balsam of Terebinth [turpentine], and apply dorcels [dossils] into it dipt in the same; on these a bolster, and so make it up again as it was before. Use this manner of dressing till accidents, or time cause you to take off the restrictive.
When you take it off, bathe it, and stuph it well [use medicated cloth to wash it] with your hot Fomentation, but have a care of displacing the Fracture; then apply an Oxicracium Plaster warm all over, only on the wound let it be cut as the restrictive before was; and this will help on a Callous, and the Bone to cement, and is an approved thing for Fractures, and very Anodine [pain relieving]; then let it be made up in every respect as it was before, and continue this manner of dressing to the end21
He elsewhere advises placing a cear cloth (a waxed cloth) medicated with Oxicracium on the dislocation.
Paré gives a thorough description of how the surgeon will know when a dislocation with fracture has been effectively treated.
You may know the bone is set, and the setting performed as is fit, if the paine be asswaged; to wit, the fibres of the muscles, and the other parts being restored to their former site, and all compression, which the bones moved out of their places have made, being taken away; if, to your feeling there bee nothing bunching out, nor rugged, but the surface of the member remaine smooth and equall: and lastly, if the broken or dislocated member compares with its opposite in the composure of the joynts, as the knees and ancles answer justly and equally in length and thicknesse.22
1,2 Ambroise Paré, The Workes of that Famous Chirurgion Ambrose Parey, 1649, p. 363; 3 John Moyle, Abstractum Chirurgæ Marinæ, 1693, p. 43; 4 John Moyle, Chirugius Marinus: Or, The Sea Chirurgeon, 1693, p. 29; 5,6 Paré, p. 363; 7,8 Moyle, Abstractum, p. 44; 9,10,11 Paré, p. 363; 12 Moyle, Abstractum, p. 44; 13 Paré, p. 364; 14 Moyle, Abstractum, p. 45; 15,16 Moyle, Abstractum, p. 46; 17,18 Paré, p. 364; 19 Moyle, Abstractum, p. 46; 20,21 Moyle, Abstractum, p. 47; 22 Paré, p. 364

